国家互联网新闻信息服务许可证:61120250002
陕公网安备 61030302000057号 陕ICP备06000158号-4
违法不良信息举报:0917-3266271 邮箱:baojijb@126.com
中国互联网举报中心 手机举报app下载 网站自律管理承诺书 涉企举报专区
陕西互联网违法和不良信息举报电话 029-63907152
地址:宝鸡广电传媒大厦 联系电话:0917-3266271 邮箱:bjnews@163.com
近期,流感高发,许多人出现发热、乏力等症状时,第一反应是“是否感染了甲流”。然而,还有一种容易被忽视的疾病——鹦鹉热衣原体肺炎,同样可引起持续高热、全身酸痛等类似流感的症状,若不及时明确诊断,可能延误治疗。

病例回顾
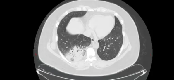
51岁的王女士(化名)持续发热5天,体温最高达39.5℃,伴全身乏力、关节肌肉酸痛。在外院输液治疗3天后仍反复发热,遂转至宝鸡市人民医院呼吸与危重症医学一科住院。主治医师李旭东接诊后,发现其胸部CT及血常规等检验结果提示非典型病原菌感染,结合患者家中养有鹦鹉的情况,高度怀疑鹦鹉热衣原体肺炎。学术主任王惠霞、科主任魏胜全与副主任医师贾汝臻综合患者长期养鹦鹉的爱好、病史、查体、CT片及相关检验结果,确认临床判断。

为进一步明确诊断,经患者及家属同意,行支气管镜肺泡灌洗并送检病原宏基因测序(NGS),结果回报支持鹦鹉热衣原体肺炎诊断。随后调整治疗方案,进行针对性精准抗感染治疗,患者很快康复出院。

医学科普
鹦鹉热,又称鸟热、鸟疫,是由鹦鹉热衣原体引起的人畜共患病。该病原体主要存在于鸟类(如鹦鹉、鸽子、家禽等)体内,人类通常通过吸入含病原体的空气颗粒或接触病鸟排泄物而感染。
· 常见症状:发热、头痛、全身肌肉痛、乏力、干咳等,类似流感或普通肺炎,容易误诊。
· 高危人群:鸟类爱好者、禽类相关从业人员、免疫力较低者。
· 诊断难点:常规检查难以确诊,常需借助支气管肺泡灌洗液NGS等分子检测技术。
· 治疗:及时使用针对性抗生素(如多西环素、莫西沙星等)治疗效果良好,但若延误可能进展为重症肺炎。
· 预防:
1.养鸟人士应注意鸟笼清洁,避免吸入扬起的粪便粉尘;
2.接触鸟类或清理鸟笼时建议佩戴口罩、手套;
3.新购入的鸟类可先隔离观察,必要时进行检疫;
4.出现发热、咳嗽等症状且近期有鸟类接触史,应主动告知医生。
温馨提示
近年来,宝鸡市人民医院呼吸与危重症医学一科已成功诊治多例鹦鹉热衣原体肺炎患者。经验表明,仔细询问病史(尤其是鸟类接触史)结合现代检测技术,可实现早诊断、早治疗。流感高发季节,若出现发热反复不退,尤其家有养鸟或接触禽类环境,应警惕鹦鹉热可能,尽早就医明确病因。(来源:宝鸡市人民医院)
